変形性膝関節症の治療のためのヒト臍帯由来間葉系幹細胞エクソソームの投与について
さい帯(へその緒)由来間葉系幹細胞エクソソーム(hUC-MSCs-Exos)の変形性膝関節症の患者に対する投与の安全性と有効性について、フェーズⅠ/Ⅱ臨床試験の結果が報告されました。
さい帯には再生医療で注目されている間葉系幹細胞が豊富に含まれており、その培養液には、炎症の抑制や組織の修復に関与するエクソソームなどの分泌物が含まれていると考えられています。エクソソームは幹細胞と同様の効果が期待されており、変形性膝関節症の進行を遅らせる新しい治療法として研究が進められています。
本研究は、さい帯由来間葉系幹細胞の培養から得られたエクソソームを用いた治療法の安全性と有効性を評価した臨床試験です。
Injection of human umbilical cord mesenchymal stem cells exosomes for the treatment of knee osteoarthritis:
from preclinical to clinical research J Transl Med. 2025 Jun 11;23(1):641.
試験デザイン

安全性評価

安全性評価のために血液検査を実施した結果、肝臓や腎臓の機能を示す主要な指標である
・総ビリルビン[TBIL]
・肝機能酵素[ALT・AST]
・腎機能関連[BUN・Cr]
において、投与量によってBUNにわずかな違いが認められたものの、それ以外には統計的に有意な変化は見られませんでした。さらに、観察期間の日数による違いについても有意な変化は確認されませんでした。これらの結果から、hUC-MSCs-Exosを関節内に投与しても、患者に悪影響を及ぼさないことが示されました。
有効性評価

疼痛、関節硬直、日常生活動作の三つを総合的に評価する指標(WOMACスコア)により、投与前、各回投与後、3ヵ月後、9ヵ月後において評価が行われました(※) 。
投与量が多いほど改善が見られる傾向があり、特に高用量群で最も顕著な効果が確認されました。低用量群では90日後に疼痛スコアが改善し、中用量群では動作スコアが改善しました。一方、高用量群では投与21日後に疼痛と総合スコアが改善し、42日以降には硬直スコアや動作スコアも改善しました。
これらの結果は、hUC-MSCs-Exosの関節内投与が特に高用量で有効であることを示しています。
(※)研究計画には投与後6ヵ月時点での評価が含まれていましたが、研究上の理由により省略されています。

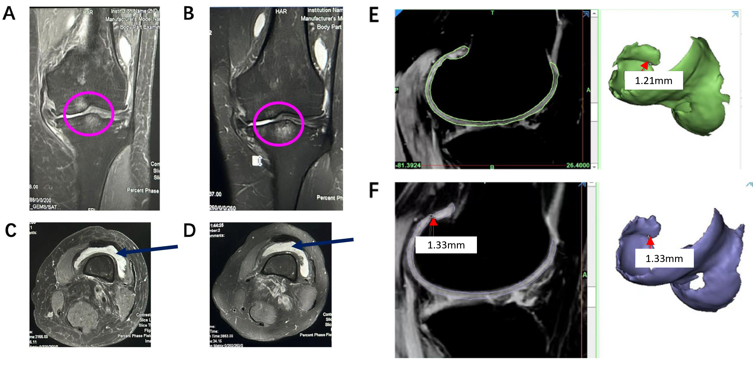
一部の患者に対し、hUC-MSCs-Exosを投与する前後でMRI検査が行われました。その結果、投与後には膝関節の腫れ(A,Bピンクの丸部分)や関節液の量(C,D紺の矢印部)が減少し、炎症の軽減が確認されました。さらに軟骨を抽出した画像解析では、軟骨の厚みがわずかに増加する変化も観察されました(E,F)。これらの結果は、hUC-MSCs-Exos投与が変形性膝関節症の症状の進行を抑えることを示唆しています。
今回の臨床試験では、さい帯由来間葉系幹細胞から得られたエクソソームを投与した際、血液検査などの安全性評価において重大な問題は確認されませんでした。さらに有効性の面では、膝関節の炎症や関節液の減少が認められ、一部の患者では軟骨の厚みが改善する傾向も観察されました。これらの結果は、さい帯由来間葉系幹細胞エクソソームが変形性膝関節症の新しい治療選択肢となる可能性を示しています。
PDF版はこちら